Friendly, compassionate care for your pets and you
We have a fully equipped theatre for all your pets surgical needs, be it routine neutering or emergency operations.

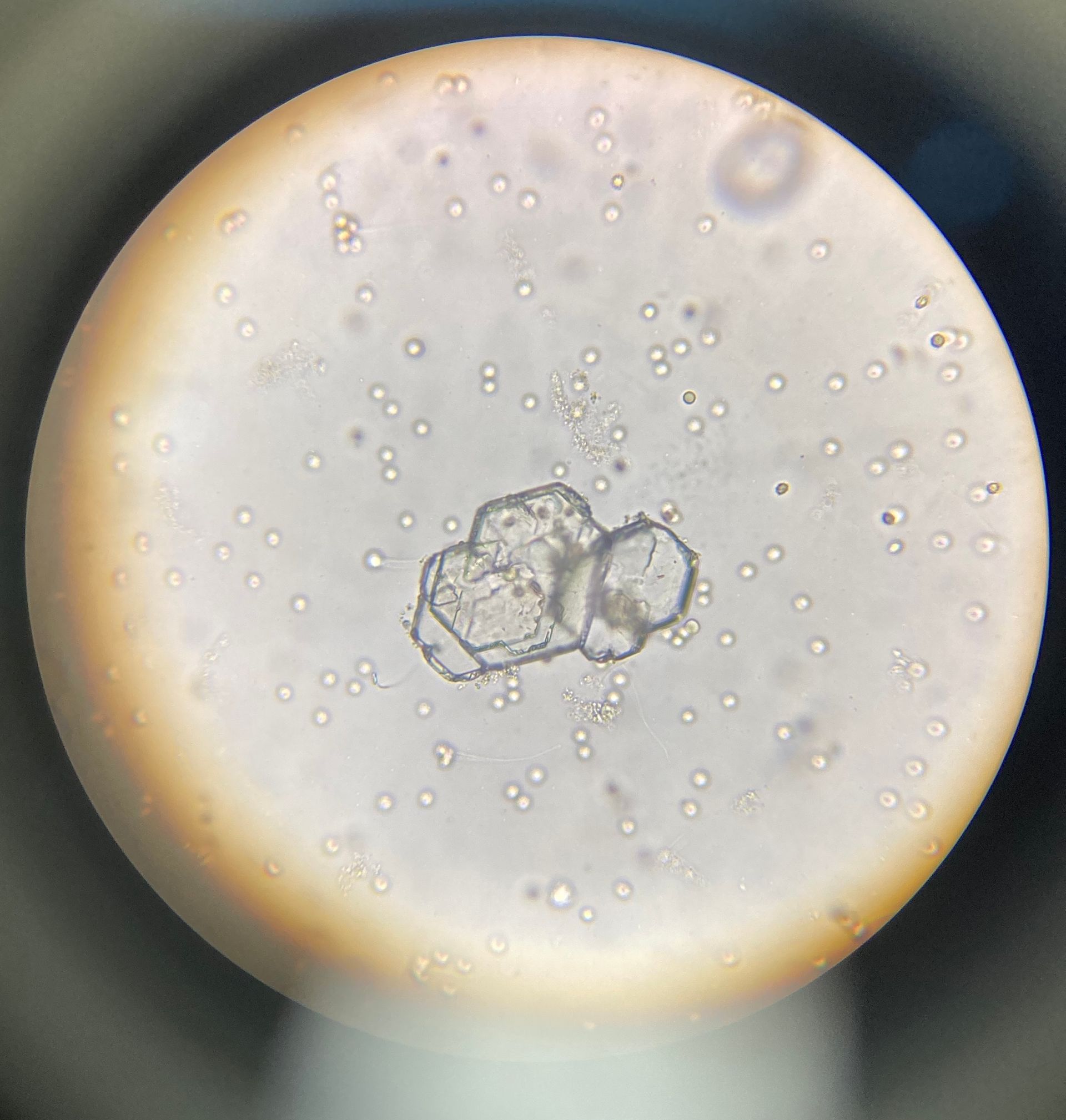
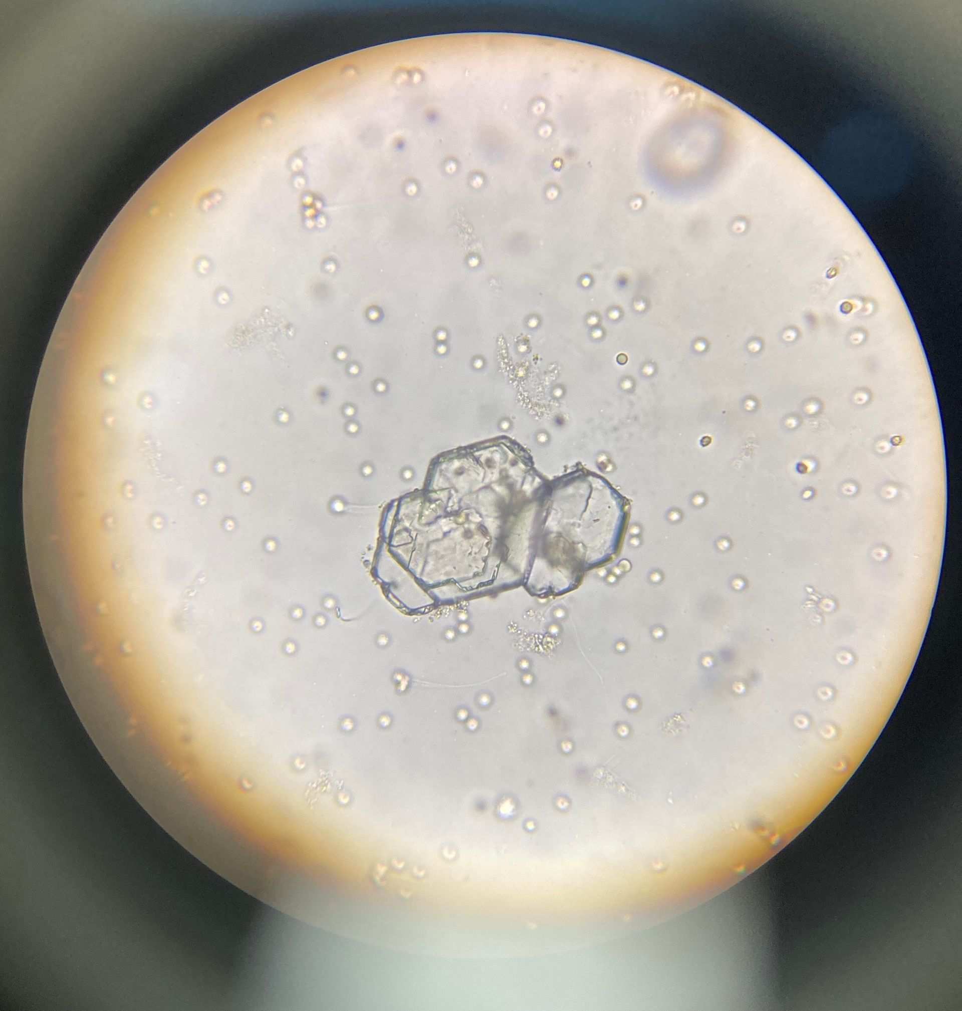
In-House Laboratory

If your pet needs further investigation we have a comprehensive in house laboratory. We hold a wide range of tests in house to allow us to get results quickly.


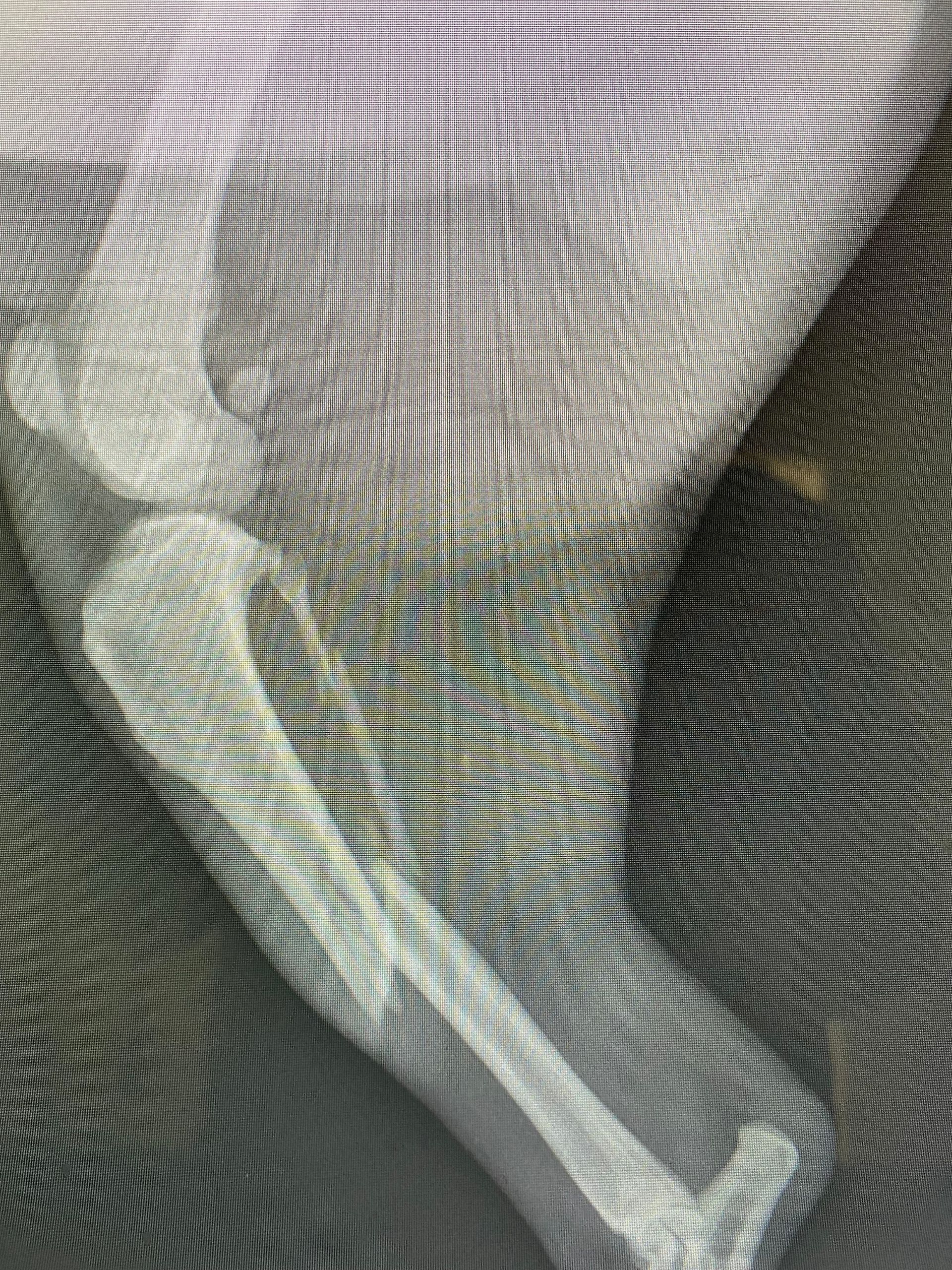
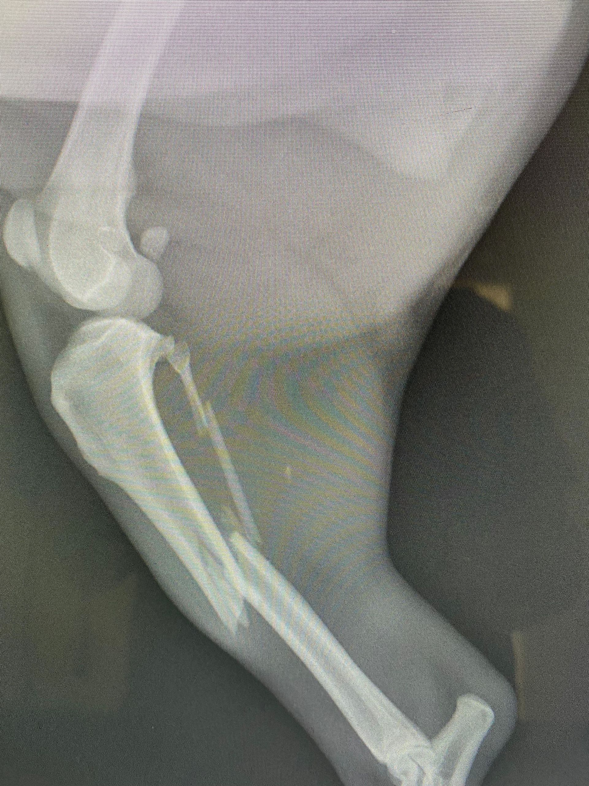
In-House Diagnostic Imaging
Our well equipped imaging suite has DR x-ray, endoscopy, bronchoscopy and ultrasound to help us diagnose your pets condition as quickly as possible.
X-ray is used for taking 2D pictures of an animal to get a better idea of what's going on inside, it's particularly helpful when looking at bones.
Endoscope/brochoscope - these are very long thin cameras used to look inside a pet, either into their stomach and intestines, up their nose or into their airways. We have 2 different sizes of scope to give us a much access as possible to different sizes of pet and different areas.
Ultrasound - as well as being used to look for pregnancy we also use it regularly, particularly on the abdomen and chest to have a look at your pets internal organs.



Kennels

With a range of kennel sizes we have a safe, warm space for all sizes of dogs. Our separate kennels in the preparation area are used for intensive care patients that need a closer eye keeping on them. We also have a specialised kennel that is used for oxygen delivery in patients that are struggling with their breathing, and isolation facilities for keeping any patients that need to be separate from others.
Cattery
When staying at Furness Vets there is a separate cattery room with state of the art ISFM gold standard cat pens, vastly reducing stress for cats. The cattery has it's own heating/air-conditioning to keep it at optimum conditions for our feline patients.


